Tecnología avanzada y resultados naturales
Soporte técnico para decisiones rápidas
Comunicación directa
Contacto
En el Laboratorio Emilio Cuadrón, combinamos más de 20 años de maestría artesanal con la tecnología de diseño y producción más avanzada del sector. Como centro de referencia en Madrid, nuestro objetivo es ofrecer a las clínicas dentales un servicio de máxima precisión que les permita centrarse en lo más importante: la salud de sus pacientes.
Contamos con un equipo técnico altamente cualificado y un flujo de trabajo 100% digital. Esto nos permite garantizar ajustes perfectos, estética natural y una durabilidad excepcional en cada una de nuestras prótesis.
"No somos solo un proveedor; somos el partner tecnológico que tu clínica necesita para alcanzar la excelencia."
Los compromisos que nos guían
Compromiso con la excelencia
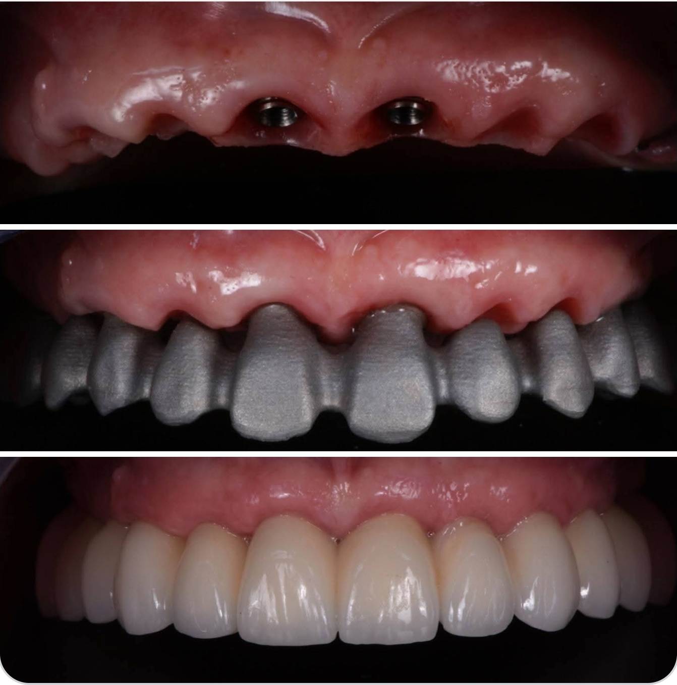
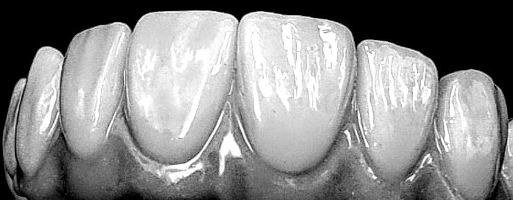
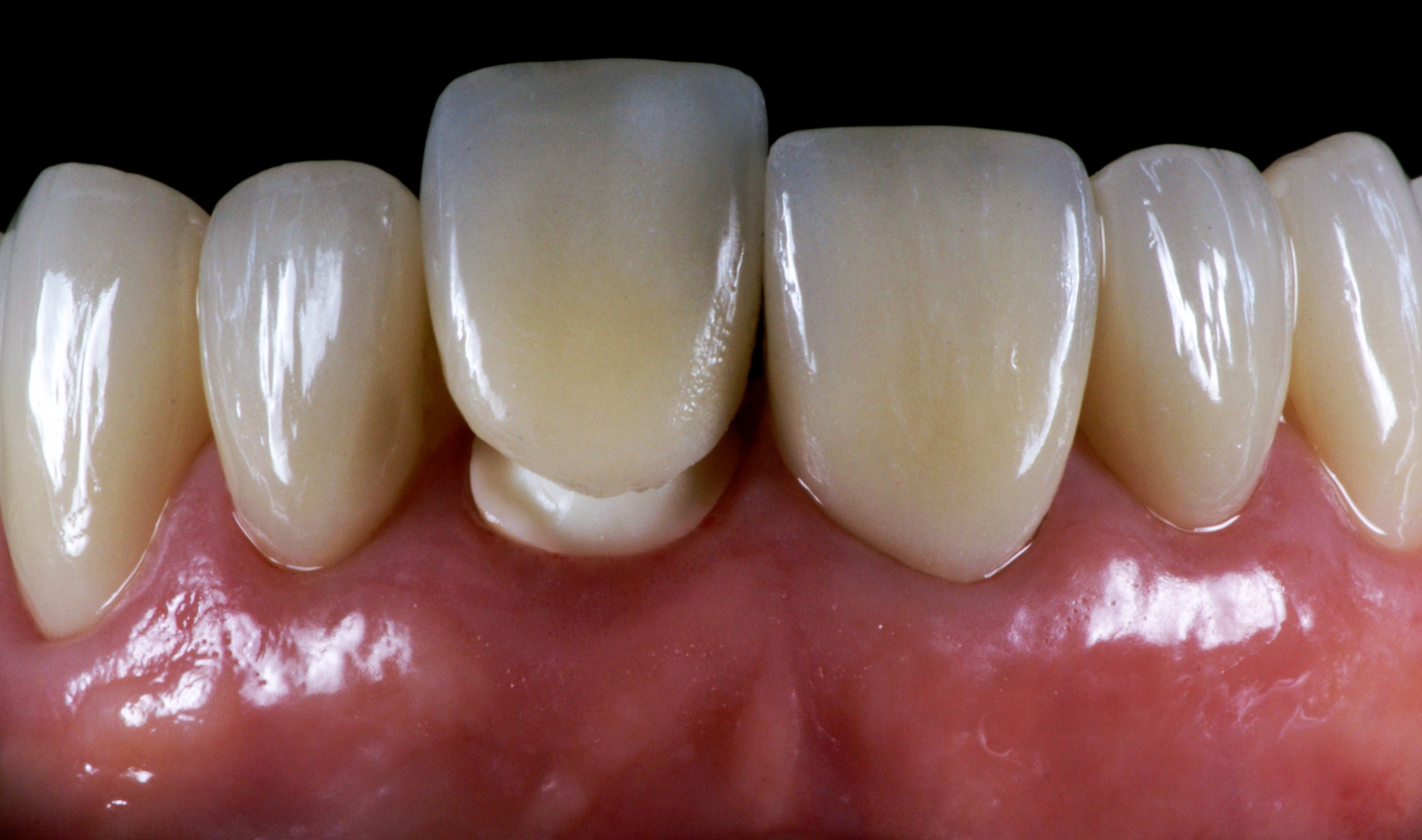
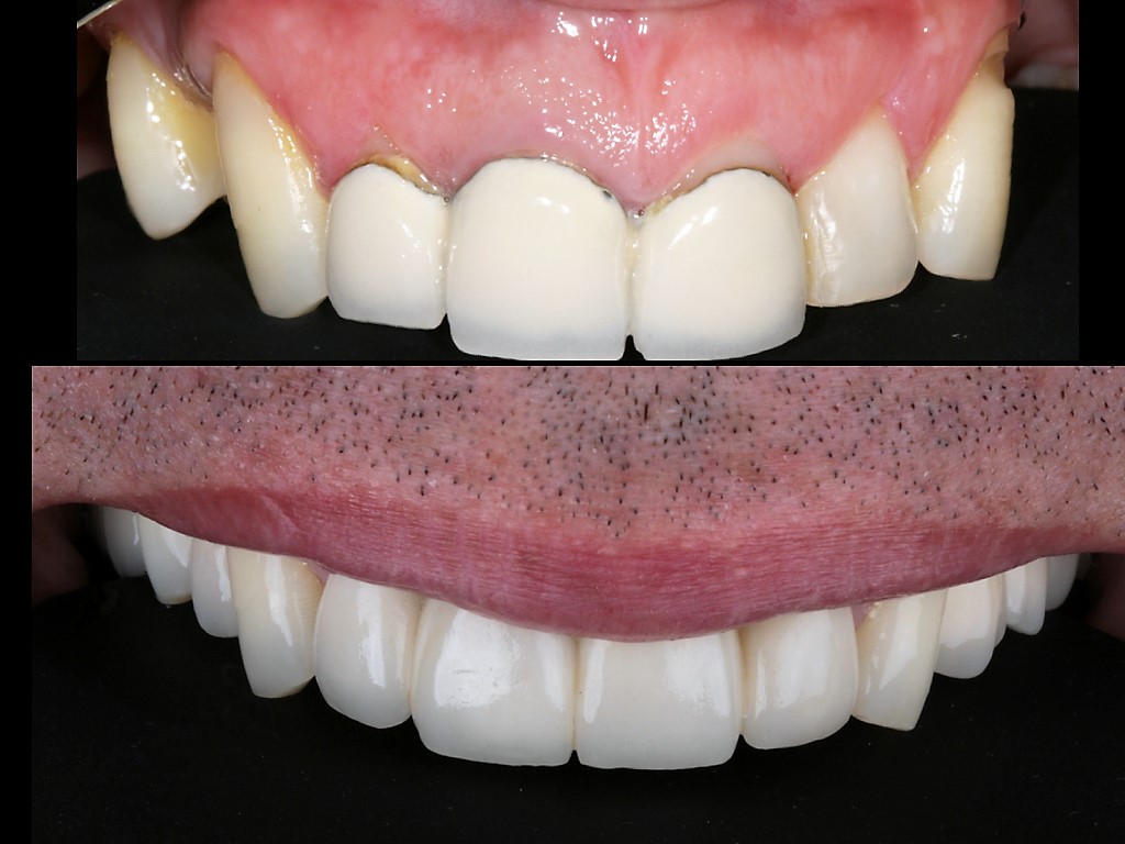
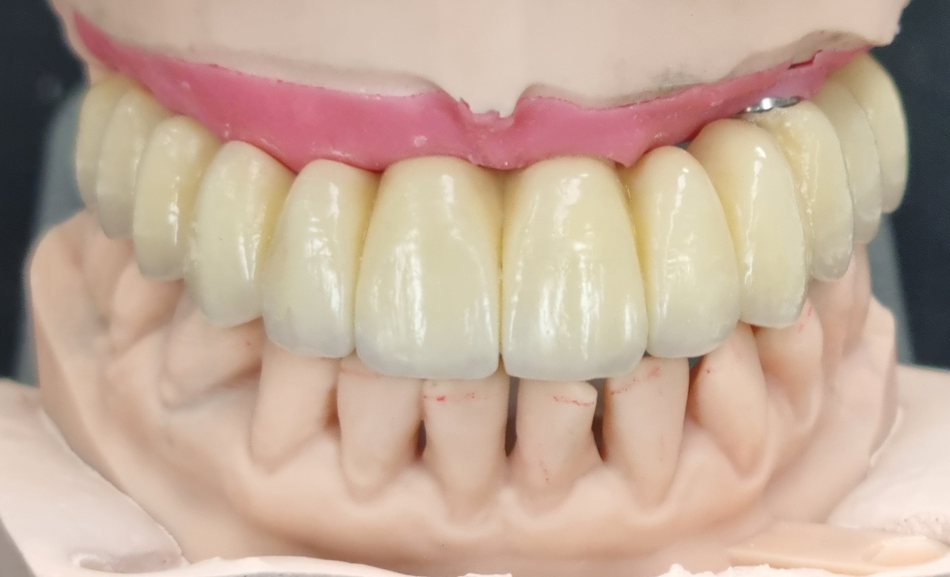
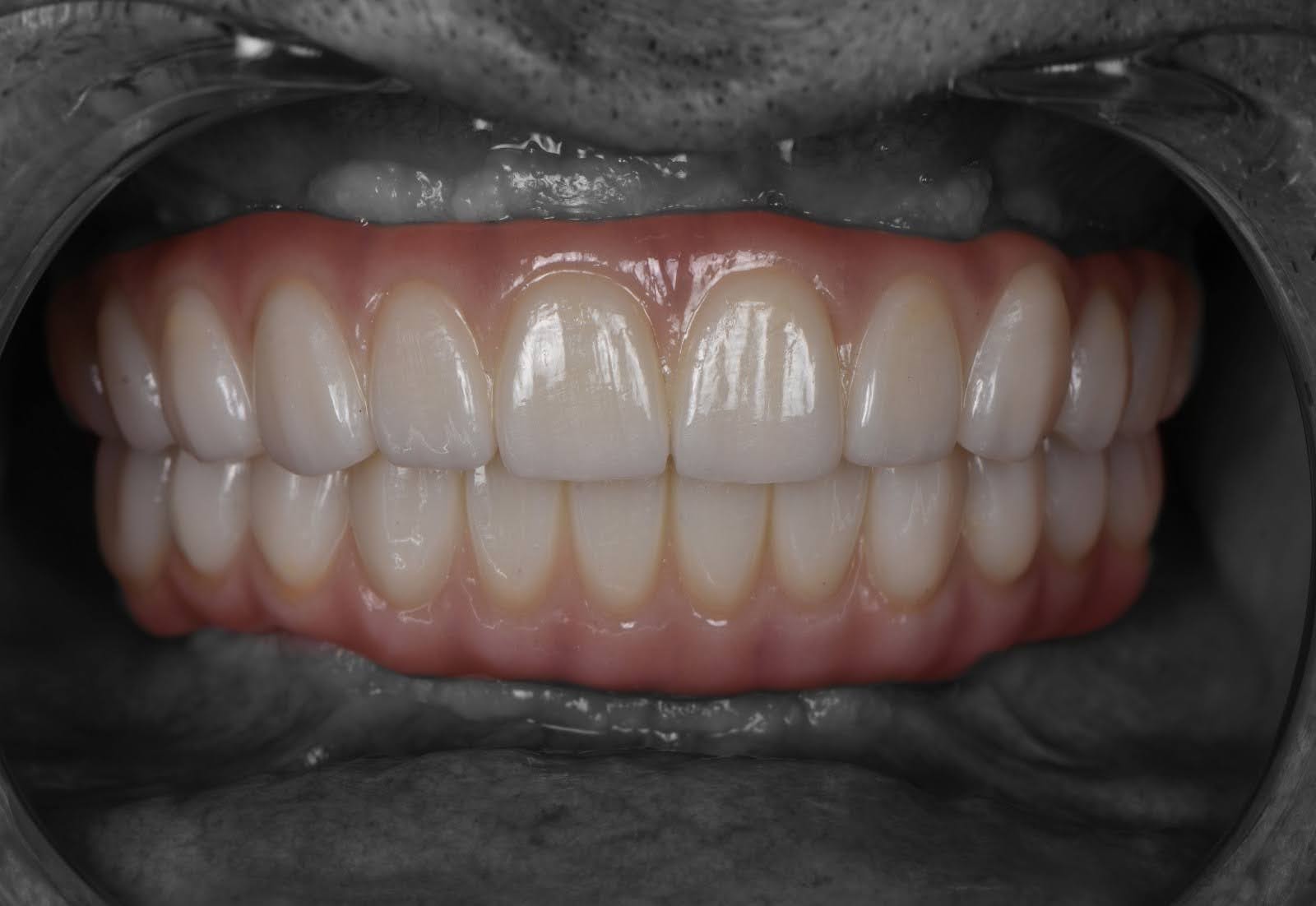
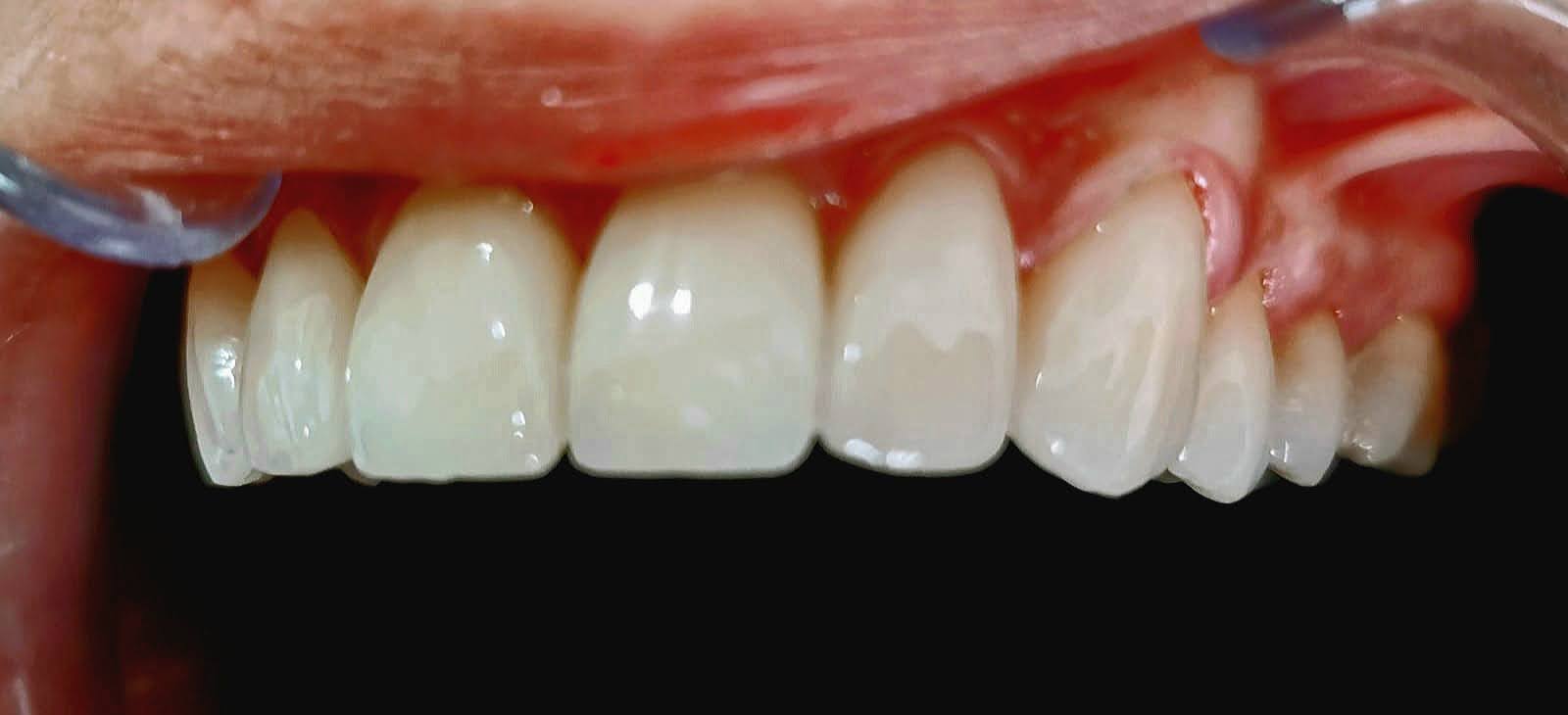
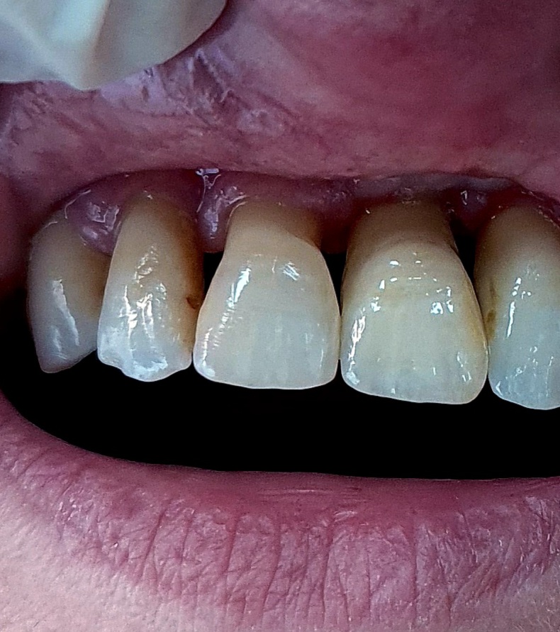
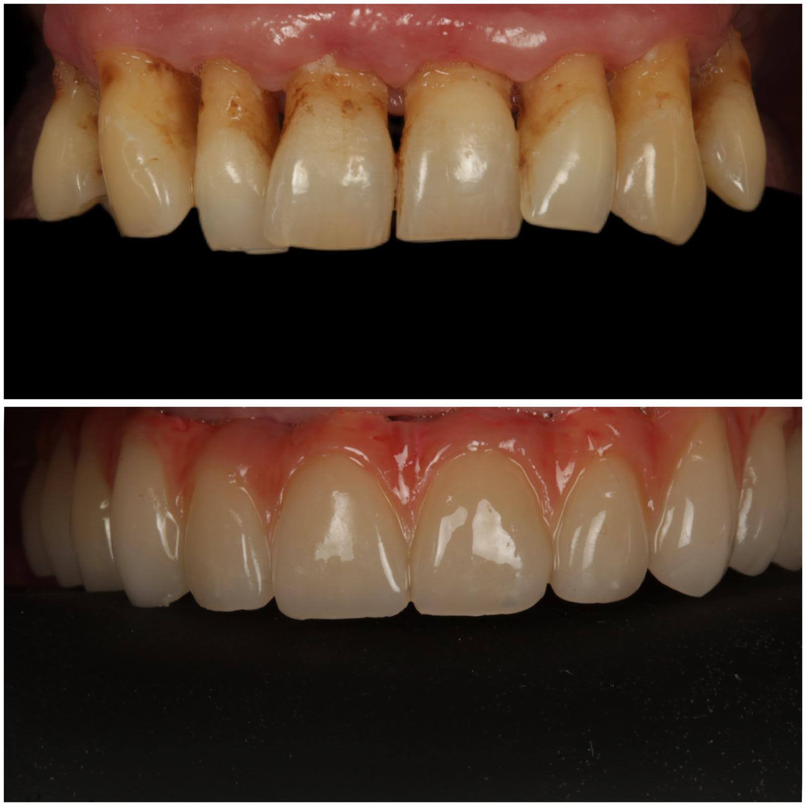
Calidad superior en cada detalle del trabajo. Combinamos el rigor de la artesanía tradicional, con la innovación de la tecnología digital más avanzada (Cad-Cam), para garantizar los mejores resultados que cumplan las expectativas estéticas y funcionales del paciente.
Trabajo coordinado con la clínica
Comunicación constante, así como un asesoramiento técnico personalizado, y actuando como una extensión de su consulta, para encontrar la mejor solución en cada caso.
Estética personalizada
Sonrisas naturales diseñadas para cada paciente único, recomendando en cada caso la elección del tipo de prótesis y material más adecuado. Haciendo un estudio de color, del paciente presencialmente, combinando fotografías, videos y mezclas de masas cerámicas.
Precisión técnica
Resultados exactos basados en tecnología y experiencia avanzada.
Especialidades
Prostodoncia
Ortodoncia
Odontología Estética
Odontología Pediátrica
Tecnología CAD/CAM
Cirugía e Implantología
Prótesis maxilofacial
Prótesis dental
Sobre nosotros
Un laboratorio orientado a la excelencia clínica
Prótesis Dental Emilio Cuadrón es un laboratorio que integra experiencia, innovación digital y control de calidad muy riguroso, para ofrecer prótesis dentales altamente estéticas, funcionales y predecibles.
Con una trayectoria de más de 30 años, y una especialización en todo tipo de prótesis analógica y digital. Combinamos el modelo de prótesis tradicional, con el flujo de trabajo 100 % digital, desde principio a fin:
Para ello, contamos con un equipo altamente cualificado y apasionado por su trabajo, cuya mayor motivación, no es sólo mejorar sonrisas, sino transformar una rehabilitación en un éxito clínico y, sobre todo, en una mejora real en la calidad de vida de cada paciente.
Nuestra filosofía de trabajo se basa en tres pilares:
• Precisión técnica: Rigor en cada fase del proceso, basado en la experiencia y la tecnología.
• Estética personalizada: Cada trabajo se adapta a la armonía facial y la personalidad del paciente.
• Compromiso total: Con el clínico y, en última instancia, con la satisfacción y bienestar del paciente; desplazándonos a su clínica para tener una estrecha colaboración, directamente con el odontólogo y con el paciente, si el caso lo requiere.
